Crowns & bridges
Crown & Bridges
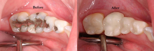
Dental Crown : A dental crown is a custom-made tooth cap constructed of ceramic (porcelain), porcelain-fused-to-metal, or gold. Dental crowns fit over broken teeth to restore their natural appearance and protect them from further damage. If you have a piece of tooth that still has healthy roots but has broken off due to age, an accident, a weak filling, or any other reason, Western Dental may be able to fix it with a dental crown.
Dental Bridge : Are you completely missing one or more teeth? If so, a dental bridge is an option to consider. A dental bridge involves placing dental crowns on both sides of your missing tooth and then inserting a replacement tooth between them. The replacement tooth is then attached to the dental crowns on either side to create a strong and permanent connection.
