Scaling
Scaling
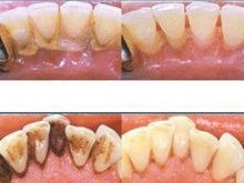
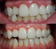
Scaling and root planing, otherwise known as conventional periodontal therapy, non-surgical periodontal therapy, or deep cleaning, is the process of removing or eliminating the etiologic agents – dental plaque, its products, and calculus – which cause inflammation,[1] thus helping to establish a periodontium that is free of disease. Periodontal scalers and periodontal curettes are some of the tools involved.
A scaling and root planing procedure is to be considered effective if the patient is subsequently able to maintain their periodontal health without further bone or attachment loss and prevent recurrent infection with periodontal pathogens
